轻量化AD-Net模型用于颅内肿瘤MRI图像的分类研究 |
| 向朝, 随力, 张昊天, 段梦雨, 刘卓睿 |
|
A Lightweight AD-Net Model for the Classification of Intracranial Tumors in MRI Images |
| XIANG Zhao, SUI Li, ZHANG Haotian, DUAN Mengyu, LIU Zhuorui |
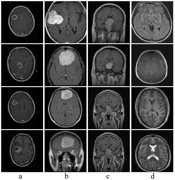
| 图6 从Dataset-1和Dataset-2数据集中抽取的正常与肿瘤脑部影像的样本. a: 胶质瘤; b: 脑膜瘤; c: 垂体瘤; d: 无肿瘤 |
| Fig. 6 Samples of normal and tumor brain images extracted from Dataset-1 and Dataset-2. a: Glioma, b: Meningioma, c: Pituitary, d: No tumor |
|