基于MR-DWI的急性脑梗塞复发影响因素的研究 |
| 倪广茂, 李玉伟, 侯文轩, 刘彩云, 董鹏, 张艳辉 |
|
Research on the Influencing Factors of Acute Cerebral Infarction Recurrence Based on MR-DWI |
| NI Guangmao, LI Yuwei, HOU Wenxuan, LIU Caiyun, DONG Peng, ZHANG Yanhui |
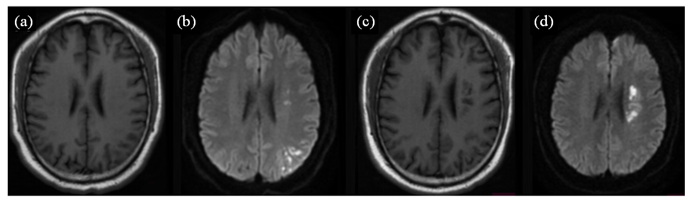
| 图1 一位多发急性脑梗塞复发患者磁共振轴位SE T1WI (a、c)、DWI (b、d)图像. 患者首次住院,行磁共振检查显示,左侧放射冠区和左侧顶叶区多个急性梗塞病灶,呈长T1信号(a),DWI弥散受限呈高信号(b);患者康复出院后6个月出现临床症状,行磁共振检查显示,左侧放射冠区多个急性梗塞病灶,呈长T1信号,左侧放射冠区见多个软化灶(c),DWI扩散受限呈高信号(d) |
| Fig. 1 Magnetic resonance axial SE T1WI (Fig. a, c) and DWI (Fig. b, d) of a patient with recurrent multiple acute cerebral infarcts. The patient was admitted to the hospital for the first time, and an MRI showed multiple acute infarction lesions in the left radiocaudate region and the left parietal lobe, with long T1 signals (Fig. a) and high DWI signals indicative of restricted diffusion (Fig. b). The patient developed clinical symptoms six months after discharge from rehabilitation, an MRI showed multiple acute infarction lesions in the left radiocaudate region with long T1 signals and multiple areas of infarction were also seen in the left radiocaudate region (Fig. c); diffusion-limited DWI with a high signal (Fig. d) |
|