基于MR-DWI的急性脑梗塞复发影响因素的研究 |
| 倪广茂, 李玉伟, 侯文轩, 刘彩云, 董鹏, 张艳辉 |
|
Research on the Influencing Factors of Acute Cerebral Infarction Recurrence Based on MR-DWI |
| NI Guangmao, LI Yuwei, HOU Wenxuan, LIU Caiyun, DONG Peng, ZHANG Yanhui |
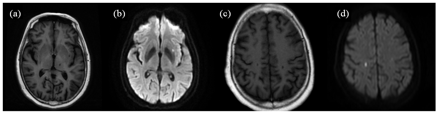
| 图2 一位单发急性脑梗塞复发患者磁共振轴位SE T1WI (a、c)、DWI (b、d)图像. 患者首次住院,行磁共振检查显示,左侧外囊单发腔梗呈长T1信号(a),DWI弥散受限呈高信号(b);患者康复出院后4个月出现临床症状,行磁共振检查显示,右侧顶叶单发腔梗灶,呈长T1信号(c),DWI扩散受限呈高信号(d) |
| Fig. 2 Magnetic resonance axial SE T1WI (Fig. a, c) and DWI (Fig. b, d) of a patient with recurrent single lesion of acute stroke.The patient was admitted to the hospital for the first time, and an MRI showed a single lumen infarction in the left external capsule with a long T1 signal (Fig. a) and diffusion-limited DWI with a high signal (Fig. b). The patient developed clinical symptoms four months after discharge from rehabilitation, an MRI showed a single lumen infarction in the right parietal lobe with a long T1 signal (Fig. c) and diffusion-limited DWI with a high signal (Fig. d) |
|