基于MR-DWI的急性脑梗塞复发影响因素的研究 |
| 倪广茂, 李玉伟, 侯文轩, 刘彩云, 董鹏, 张艳辉 |
|
Research on the Influencing Factors of Acute Cerebral Infarction Recurrence Based on MR-DWI |
| NI Guangmao, LI Yuwei, HOU Wenxuan, LIU Caiyun, DONG Peng, ZHANG Yanhui |
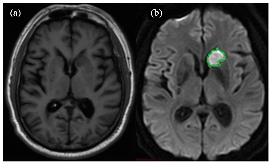
| 图4 磁共振轴位SE T1WI图像(a)、DWI图像及病灶最大层面面积测量示意图(b). (a)中,左侧尾状核头部区急性梗塞病灶, 呈长T1信号;(b)中,DWI扩散受限呈高信号 |
| Fig. 4 Magnetic resonance axial SE T1WI (a), DWI and the schematic diagram of the maximum lesion area measurement at the largest layer (b). In (a), MRI showed an acute infarction lesion in the head of the left caudate nucleus, presenting as long T1 signals; In (b), DWI showed restricted diffusion with high signal intensity. |
|