波谱学杂志

• •    

基于MR-DWI的急性脑梗塞复发影响因素的研究

倪广茂,李玉伟,侯文轩,刘彩云,董鹏#,张艳辉*   

  1. 医学影像学院,山东第二医科大学,山东 潍坊 261053
  • 收稿日期:2025-03-26 修回日期:2025-06-15 出版日期:2025-06-16 在线发表日期:2025-06-16
  • 通讯作者: 董鹏;张艳辉 E-mail:dongpeng@sdsmu.edu.cn;yhzhang@sdsmu.edu.cn

Research on the influencing factors of acute cerebral infarction recurrence based on MR-DWI

NI Guangmao,LI Yuwei,HOU Wenxuan,LIU Caiyun,DONG Peng#,ZHANG Yanhui*   

  1. School of Medical Imaging, Shandong Second Medical University, Weifang 261053, China
  • Received:2025-03-26 Revised:2025-06-15 Published:2025-06-16 Online:2025-06-16
  • Contact: DONG Peng; ZHANG Yanhui E-mail:dongpeng@sdsmu.edu.cn;yhzhang@sdsmu.edu.cn

摘要:

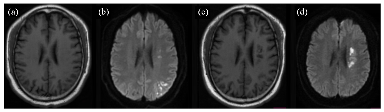
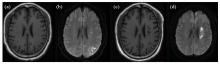
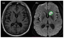
为了探讨基于磁共振弥散加权成像(MR-DWI)的急性脑梗塞患者影像解剖学特点与患者复发的相关性,本文回顾性分析了符合纳排标准的211例经临床证实的急性脑梗塞患者的临床资料和MR资料,计数病灶个数以及受累脑供血区个数,测量梗塞灶总面积和头皮下脂肪面积;分析患者一年内复发、未复发的情况与上述数据的相关性.结果表明急性脑梗塞复发组和未复发组间,病灶个数、受累供血区个数的差异有统计学意义(p<0.05);两组间,轴位图像上病灶的总面积、头皮下脂肪面积的差异无统计学意义(p>0.05).由此可见急性脑梗塞患者MR-DWI图像上的病灶个数、受累脑供血区个数是患者一年内是否复发的主要影响因素,该研究可为临床医师对患者进行个体性治疗和预后评价提供影像学依据.

关键词: 急性脑梗塞, 复发, 磁共振成像, 弥散加权成像

Abstract:

To explore the correlation between the imaging anatomical characteristics of acute cerebral infarction patients based on magnetic resonance diffusion-weighted imaging (MR-DWI) and the recurrence of patients. This study retrospectively analyzed the clinical data and MR data of 211 patients with acute cerebral infarction confirmed clinically and meeting the inclusion and exclusion criteria. The number of lesions and the number of involved cerebral blood supply areas were counted, and the total area of infarction and the area of subcutaneous fat were measured. The correlation between the recurrence and non-recurrence of patients within one year and the above data was analyzed. The results showed that there was a statistically significant difference in the number of lesions and the number of involved blood supply areas between the recurrence and non-recurrence groups of acute cerebral infarction (p < 0.05); there was no statistically significant difference in the total area of lesions on axial images and the area of subcutaneous fat between the two groups (p > 0.05). Therefore, it is concluded that the number of lesions and the number of involved cerebral blood supply areas on MR-DWI images of acute cerebral infarction patients are the main influencing factors for recurrence within one year. This study can provide imaging evidence for clinicians to conduct individualized treatment and prognosis evaluation of patients.

Key words: Acute cerebral infarction, Recurrence, Magnetic resonance imaging (MRI), Diffusion-weighted imaging